Grâce à une technologie de pointe, nous avons la possibilité de répondre à un grand choix de restaurations plurales transvissées.
Cette technologie de fabrication est parfaitement maîtrisée sur des machines ultra précises pilotées par des techniciens expérimentés qui vous assurent une passivité et un ajustage parfait en bouche.
La révolution technologique dans le domaine CAD-CAM nous permet de vous proposer un large choix de solutions pour répondre aux attentes des vos patients.
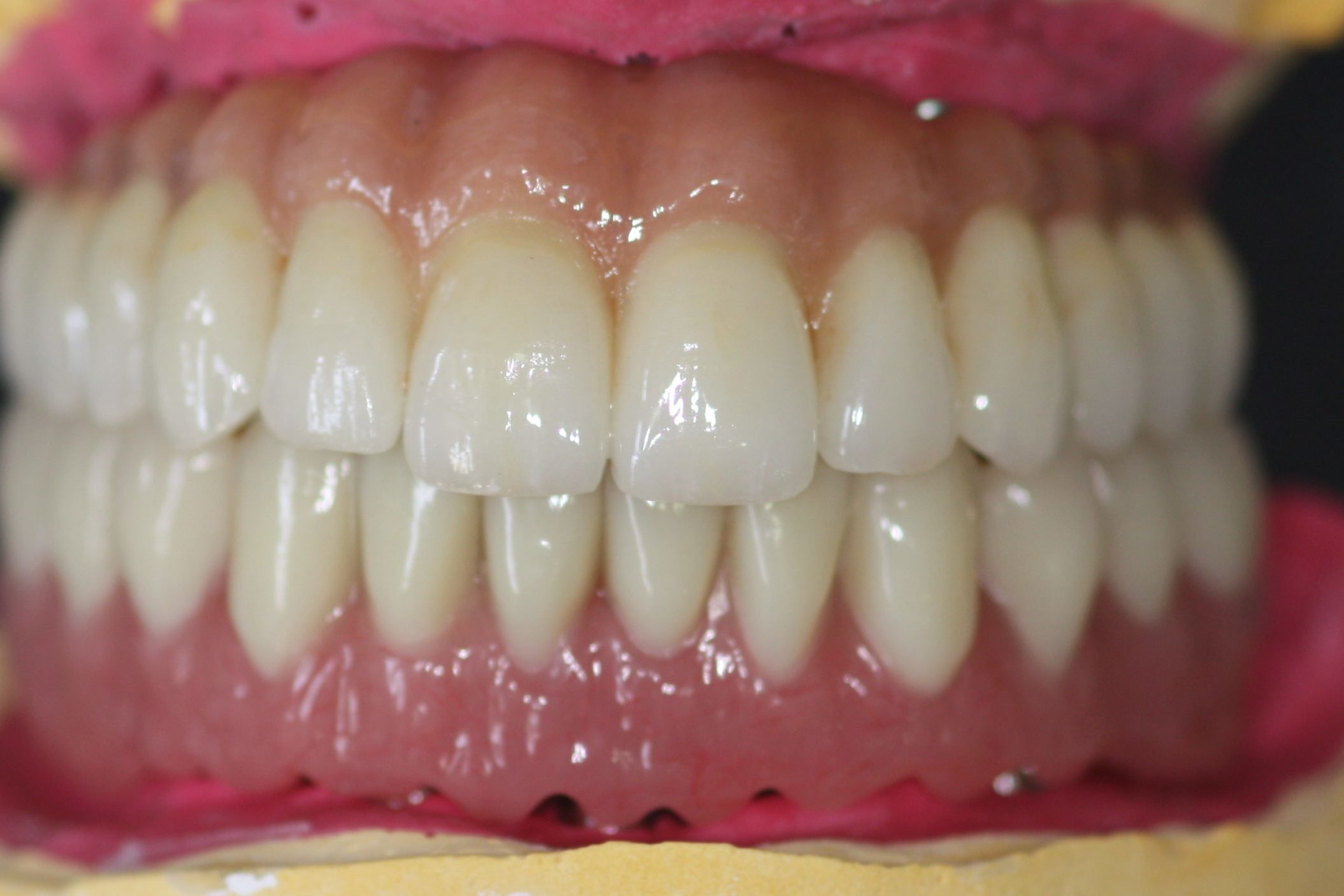
RESTAURATION TRANSVISSÉE PLURALE
PILIERS PERSONNALISÉS TITANE OU ESTHETIQUE
En partenariat avec les différents fabricants d’implants, nous vous proposons une gamme complète de piliers personnalisés et esthétiques dans la marque de votre système d’implant.
Nous proposons également des piliers génériques usinés au laboratoire sur des ébauches (Pre-milled), adaptés à la plupart des systèmes implantaires.
Le pilier personnalisé reste un élément esthétique essentiel pour assurer une adaptation parfaite du fût gingival et une jonction anatomique adaptée à la future restauration.
PROTHÈSE FIXE SCELLÉE OU TRANSVISSÉE
L’utilisation de technologies avancées au sein de notre laboratoire, nous permet la réalisation de travaux complexes pluraux.
En unitaire ou en restauration totale, nous sommes capables de vous proposer des prothèses transvissées ou scellées réalisées en CAO avec un ajustage parfait pour le confort de vos patients.
BARRE IMPLANTAIRE
La réalisation de barres de conjonction nous permet de concevoir des prothèses amovibles stabilisées pour un nombre d’implant limité (antérieur), avec un grand confort d’utilisation pour vos patients.




























